Pular para o conteúdo principal
Saúde

Novas perspectivas para o tratamento da doença de Chagas

Isso é o que sugere estudo em parceria entre UFU e Unifesp

Publicado em 13/03/2014 às 14:21 - Atualizado em 09/06/2025 às 22:11

Os portadores da doença de Chagas podem ter novas perspectivas para o tratamento da enfermidade, segundo estudo que está sendo desenvolvido em parceria entre a UFU e a Universidade Federal de São Paulo (Unifesp). Atualmente, segundo o professor Cláudio Vieira, do Instituto de Ciências Biomédicas (ICBIM/UFU) e um dos autores do estudo, o tratamento é feito com drogas que são tóxicas ao causador da doença, o protozoário Trypanosoma cruzi. “Uma grande consequência disso é que o produto intermediário do metabolismo dessas drogas nas células é altamente tóxico para o indivíduo em tratamento”, explica o professor.

Essas novas perspectivas começaram a ser abertas em 2006, quando Vieira cursava doutorado na Unifesp. Os estudos feitos em colaboração com pesquisadores da Fundação Oswaldo Cruz (Fiocruz) resultaram na descoberta da proteína T 21 no parasita Tripanosoma cruzi. Posteriormente, a equipe identificou que a proteína tem função na invasão desse parasita nas células dos mamíferos infectados, induzindo-o a entrarem nelas e a se multiplicarem. De acordo com o professor, a proteína é uma forma de driblar o sistema imunológico do hospedeiro.

A intenção da equipe formada por pesquisadores da UFU e da Unifesp, explica o pesquisador, é produzir peptídeos (pequenas sequências de aminoácidos) para se ligarem na região específica de invasão da P 21, inibindo a atividade biológica dessa proteína. “Já temos algumas sequências de aminoácidos que estão em fusão com bacteriófagos (vírus que infectam bactérias). Em experimentos com esses bacteriófagos, conseguimos ter uma taxa de redução de até 80% de invasão”. Cláudio Vieira da Silva afirma que o próximo passo é produzir sinteticamente esses peptídeos livres dos bacteriófagos e validar os resultados.

O emprego desses peptídeos, conforme aponta o professor, é de extrema importância para mudar o atual paradigma de tratamento, uma vez que eles não são tóxicos, são específicos e não geram produtos intermediários, sendo facilmente eliminados pelo corpo humano.

Para obter mais informações sobre a proteína P 21, confira a entrevista do pesquisador publicada na revista eletrônica International Innovation: www.research-europe.com/magazine/ISSUE/129.

Doença de Chagas

É causada pelo protozoário Trypanosoma cruzi que é transmitido pelas fezes do inseto conhecido como barbeiro. Esse inseto de hábitos noturnos vive nas frestas das habitações de pau-a-pique, nas tocas de animais, nos ninhos de pássaros, embaixo de pedras e na casca de troncos de árvores. Geralmente, os primeiros sintomas da doença são: febre, mal-estar, dor ganglionar, falta de apetite, inchaço ocular e aumento do baço e do fígado.

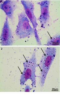
Figura mostra a invasão celular por Trypanosoma cruzi na ausência de P21 (1) e na presença de P21 (2). Observa-se que na presença de P21 houve internalização de parasitas (indicado por setas pretas) significativamente maior que na situação 1 sem a proteína. Este dado mostra a importância desta proteína para que o Trypanosoma cruzi tenha sucesso durante a invasão celular no hospedeiro mamífero.

Palavras-chave: saúde Doença de Chagas Biologia ICBIM

A11y